
인공지능(AI) 기업 뷰노는 AI 기반 흉부 X-ray 판독·소견 검출 의료기기 VUNO Med®-Chest X-ray™(Chest X-ray)가 보건복지부의 혁신의료기술 관련 고시 확정으로 오는 6월부터 비급여 시장 진입이 가능해졌다고 밝혔다. 해당 기기는 지난 1월 혁신의료기기 통합심사·평가에서 승인을 받았다.
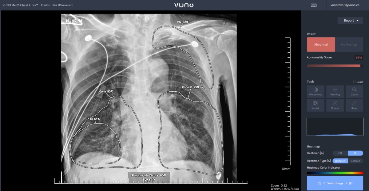
Chest X-ray는 흉부 X-ray 영상을 분석해 5개의 이상 소견(결절, 경화, 간질성 음영, 흉막 삼출, 기흉) 유무를 검출한다. 폐렴과 폐결핵 선별도 가능한 진단 보조 소프트웨어이다. 혁신의료기술 고시에 따라 6월부터 3년간 임상 현장에서 사용할 수 있으며, 의료기관은 비급여 청구가 가능하다.
혁신의료기기 통합심사·평가는 인공지능(AI)·빅데이터 기술, 디지털·웨어러블 기술을 활용한 혁신의료기기가 의료현장에서 신속하게 사용될 수 있게 만들어졌다. 심사에 통과한 기업의 의료기기는 실제 의료현장에서 활용돼, 임상 근거를 축적할 수 있다.
이예하 뷰노 대표는 “이번 고시를 통해 Chest X-ray가 의료현장에서 실제로 활용되며 더 많은 환자들이 폐, 심장 관련 질환을 조기에 정확하게 진단받을 수 있게 되기를 기대한다”며 “실사용 데이터를 기반으로 향후 신의료기술평가 통과 및 건강보험 수가 진입을 위한 근거 마련에 최선을 다하겠다”고 말했다.
관련뉴스








