(서울=연합뉴스) 서한기 기자 = 국내에서 신종 코로나바이러스 감염증(코로나19) 확진 판정을 받은 소아·청소년이 22일 현재까지 총 388명인 것으로 집계됐다.
중앙방역대책본부에 따르면 이날 0시 기준으로 전체 코로나19 확진자 수는 총 8천897명이며, 이 중에서 18세 이하 소아·청소년은 총 388명이었다.
이 가운데 275명이 격리 중이며, 113명은 격리 해제됐다. 사망환자는 없었다.
소아·청소년 확진자를 연령별로 세부적으로 나눠보면 0∼2세 30명, 3∼6세 32명, 7∼12세 101명, 13∼15세 92명, 16∼18세 133명 등이다.
연령별 인구 10만명당 발생률은 0∼9세 2.43명, 10∼19세 9.31명, 20∼29세 35.20명, 30∼39세 12.90명, 40∼49세 14.55명, 50∼59세 19.51명, 60∼69세 17.84명, 70∼79세 16.50명, 80세 이상 20.64명 등이었다.
국내에서 소아·청소년은 코로나19에 걸려도 중증으로 발전하지 않고 호전되는 것으로 알려졌다.
실제로 국내 어린이로는 처음으로 코로나19 진단받은 11세 여자 어린이 환자는 증상이 경미해 항바이러스제 투여 없이 완쾌했다.
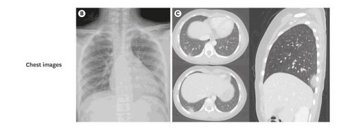
서울대병원 소아청소년과 최은화 교수·분당서울대병원 소아청소년과 박지영 교수 연구팀이 국내 첫 어린이 코로나19 환자 임상 증상 및 치료 경과 등을 담은 논문을 보면, 이 환자는 확진 3일 전부터 약간의 가래 증상이 보고됐지만, 설사나 구토 등 증상은 없었다. 흉부 컴퓨터단층촬영(CT)에서 가벼운 폐렴이 확인됐으나 항바이러스제를 투여할 수준은 아니었다.
이에 따라 항바이러스제 없이 자연 호전해 치유됐다. 환자는 입원 후 15일 만인 3월 4일 퇴원했다.
이 환자는 지난 2월 18일 국내에서 32번째 코로나19 환자로 확진됐다. 20번 환자(42세 여성, 한국인)의 딸이자 15번 환자(43세 남성, 한국인)의 조카다. 확진 당시 국내 첫 어린이 환자로 주목받았다.

shg@yna.co.kr
(끝)
<저작권자(c) 연합뉴스, 무단 전재-재배포 금지>
관련뉴스








