
(서울=연합뉴스) 한성간 기자 = 만성 염증 질환 치료에 널리 사용되는 스테로이드가 대뇌를 구성하는 백질(white matter)과 회색질(grey matter) 구조와 용적의 변화와 연관이 있다는 연구 결과가 나왔다.
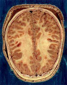
대뇌는 신경 세포체로 구성된 겉 부분인 피질과 신경세포들을 서로 연결하는 신경 섬유망이 깔린 속 부분인 수질로 이루어져 있다. 피질은 회색을 띠고 있어 회색질, 수질은 하얀색을 띠고 있어 백질이라고 불린다.
네덜란드 레이던(Leiden) 대학 메디컬센터 내분비내과 연구팀이 흡입용 스테로이드(inhaled steroid)를 사용하는 557명과 전신 스테로이드(systemic steroid)를 사용하는 222명을 대상으로 진행한 연구 결과 이 같은 사실이 밝혀졌다고 메디컬 익스프레스(MedicalXpress)가 31일 보도했다.
이들은 모두 과거에 신경정신 장애나 내분비 장애 병력이 없었고 항우울제 같은 기분 변화 악제를 복용한 일도 없었다.
연구팀은 이들에게 뇌 MRI 스캔과 함께 지난 2주 동안 생활하면서 어떤 기분을 느꼈는지를 묻는 설문조사를 진행했다.
뇌 MRI 스캔에서는 흡입용 스테로이드와 전신 스테로이드(주사 또는 정제) 사용자가 모두 스테로이드를 사용하지 않는 사람들보다 백질의 구조가 온전하지 못한(less intact) 것으로 나타났다.
백질 구조의 불완전성은 흡입용 스테로이드 사용자보다 전신 스테로이드 사용자가 더 심했다고 연구팀은 밝혔다.
또 어떤 스테로이드든 오래 사용한 사람일수록 백질 구조 이상이 심했다.
회색질에서는 스테로이드 사용자가 미상핵(尾狀核: caudate nucleus)과 편도체(扁桃體: amygdala) 구조가 온전하지 못한 것으로 나타났다.
전신 스테로이드 사용자는 스테로이드를 사용하지 않는 사람보다 미상핵이 크고 흡입용 스테로이드 사용자는 편도체가 작았다.
미상핵과 편도체는 모두 뇌의 회색질에서 인지와 감정 조절을 담당하는 부위들이다.
한편 설문조사에서는 스테로이드가 우울 증세, 무감동(apathy), 안절부절증(restlessness), 피로/무력감 같은 감정 장애와 연관이 있는 것으로 나타났다.
특히 전신 스테로이드 사용자가 이러한 연관성이 강했다.
흡입용 스테로이드 사용자는 피로/무력감만 두드러지게 나타났다. 다른 감정 장애는 전신 스테로이드 사용자보다 훨씬 덜 했다.
이 연구에서 한 가지 아쉬운 점은 전신 스테로이드 정제와 주사제를 구분하지 않았다는 것이다.
스테로이드는 면역 반응에 의한 염증 완화에는 도움이 되지만 동시에 면역체계의 능력을 손상할 수 있다.
이는 스테로이드를 장기간 사용하는 사람들에게 불안, 우울증, 조증(mania), 섬망(delirium) 같은 신경정신 장애가 흔히 나타나는 이유를 설명해 주는 것일 수 있다고 연구팀은 지적했다.
흡입용 스테로이드와 전신 스테로이드 모두 대사, 심혈관, 근골격 건강에 부작용을 일으키고 신경정신 건강에도 영향을 미친다.
소득수준이 높은 나라들에서는 국민의 전신 스테로이드 사용률이 0.5~3%에 이르고 있다.
이 연구 결과는 '영국 의학 저널 오픈'(BMJ Open) 최신호에 발표됐다.
skhan@yna.co.kr
(끝)
<저작권자(c) 연합뉴스, 무단 전재-재배포 금지>
관련뉴스








