서울대 연구팀 동물실험으로 입증…"반려동물도 백신접종 검토해야"

(서울=연합뉴스) 김길원 기자 = 코로나19 팬데믹 시기에 수많은 사망자를 만들었던 변이(델타, 오미크론) 바이러스가 개에서 개로도 전파된다는 사실이 국내 연구진에 의해 처음으로 확인됐다.
이는 반려동물의 바이러스 감염에 의한 새로운 변이종 출현 및 사람으로의 재감염 가능성을 보여주는 것이어서 이에 대한 대책 마련이 필요하다는 지적이 나온다.
서울대 수의대 송대섭 교수, 전북대 유광수 연구관 공동 연구팀은 반려동물인 개를 이용한 실험을 통해 코로나19 변이주 바이러스의 감염 및 바이러스 전파를 처음으로 확인했다고 1일 밝혔다.
이번 연구는 질병관리청의 연구비 지원으로 이뤄졌으며, 논문은 미국 질병통제센터(CDC)가 발행하는 의학 학술지 '신종 감염병'(Emerging Infectious Diseases) 최신호(온라인판)에 발표됐다.
연구팀은 실험용 개(비글)의 콧속을 통해 코로나19 변이주(델타, 오미크론) 바이러스를 감염시키고 24시간이 지나 바이러스에 노출되지 않은 정상견을 합사했다. 이후 7일 동안 양쪽 그룹의 임상학적 및 바이러스학적 변화 양상을 분석했다.
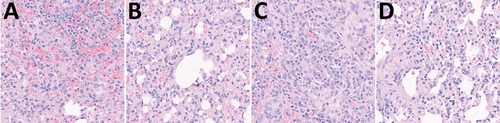
이 결과 감염군과 접촉군 모두 임상 증상의 변화는 없었으나 폐의 조직병리학적 분석에서 감염 합병증인 바이러스성 폐렴 증상이 확인됐다.
또한 델타와 오미크론 바이러스 감염군에서 증식성을 가진 바이러스가 콧물을 통해 배출됐으며, 개들끼리의 접촉으로 바이러스가 전파되면서 정상견도 코로나19에 감염된 것으로 나타났다.

연구팀은 그동안 사람에게서 개로 코로나19 바이러스가 옮겨간 사례에 대한 보고는 다수 있었지만, 개에서 개로의 코로나19 바이러스 전파력이 입증된 것은 이번이 처음이라고 의미를 부여했다.
앞서 연구팀은 코로나19 우한주 및 메르스 바이러스에 감염된 비글견의 폐를 조직병리학적으로 분석한 결과 바이러스성 폐렴 증상이 있었고, 이 바이러스 유전자가 감염된 개의 콧물 및 분변 등으로 배출된다는 사실을 입증했다. 이 논문은 관련 국제학술지(Animals) 최근호에 발표됐다.
연구팀은 이번 연구로 코로나19와 메르스 등의 인간 코로나바이러스가 반려동물인 개에서 감염성을 가지는 것은 물론 사람을 포함한 다른 개체로 전파될 수 있음이 확인된 만큼 반려동물에서 비롯되는 변이종 출현을 막기 위한 백신 접종을 적극적으로 고려해야 한다는 견해를 제시했다.
유광수 연구관은 "코로나바이러스의 이종 간 감염으로 돌연변이가 확산한 것은 과거 다른 동물들의 코로나 감염 사례에서 확인된 부분"이라고 설명했다.
송대섭 교수는 "사람과 수용체에 차이가 있는 동물에 바이러스가 종간장벽을 넘어 감염되면 원래 인체에 있던 바이러스에서 돌연변이가 유발될 위험뿐만 아니라, 이렇게 전파된 바이러스로 인한 동물 간, 개체 간 감염이 반복돼 또 다른 돌연변이가 출현할 우려가 커진다"면서 "이제는 반려동물의 역인수공통감염증(reverse-zoonosis)을 막기 위해서라도 동물용 바이러스 백신의 사용을 검토해야 할 때"라고 말했다.

bio@yna.co.kr
(끝)
<저작권자(c) 연합뉴스, 무단 전재-재배포 금지>
관련뉴스








