"중·고강도 운동, 뇌 회색질·백질 용적 증가"

(서울=연합뉴스) 한성간 기자 = 규칙적인 중강도 내지 고강도 운동은 뇌의 회색질과 백질의 용적 증가와 연관이 있다는 연구 결과가 나왔다.
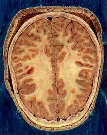
뇌는 신경 세포체로 구성돼 입력된 정보를 처리하는 겉 부분인 대뇌 피질과 신경세포들을 서로 연결하는 신경 섬유망이 깔려 서로 다른 뇌 부위들을 연결하는 속 부분인 수질로 이루어져 있다. 피질은 회색을 띠고 있어 회색질, 수질은 하얀색을 띠고 있어 백질이라고 불린다.
캐나다 밴쿠버 프레누보(Prenuvo) 영상센터의 영상의학 전문의 라즈풀 아타리왈라 박사 연구팀이 캐나다의 여러 프레누보 영상센터에서 시행된 1만125명(평균연령 53세, 남성 52%)의 뇌 MRI 영상을 분석한 결과, 이 같은 사실이 밝혀졌다고 헬스데이 뉴스(HealthDay News)가 16일 보도했다.
이 중 7천6명(75.1%)은 일주일에 평균 4일 중강도 내지 고강도 운동을 하고 있었다.
중강도·고강도 운동은 최소 10분 이상 계속해서 호흡과 맥박이 높아지는 운동을 말한다.
연구팀은 3가지 심층학습(deep learning) 모델을 이용해 이들의 뇌 횡단면(상하), 관상면(앞뒤), 시상면(좌우) MRI 영상을 분석했다.
전체적으로 중강도 내지 고강도 운동(달리기, 걷기, 스포츠 등)을 규칙적으로 하는 사람은 다른 사람보다 뇌의 회색질과 백질의 용적이 큰 것으로 나타났다고 연구팀은 밝혔다.
중강도·고강도 운동 일수가 많을수록 회색질, 백질, 해마, 전두엽, 두정엽, 후두엽의 용적은 커졌다.
하루 4천보 걷는 중강도 운동도 뇌 건강에 상당히 긍정적인 영향을 미치는 것으로 밝혀졌다.
이 결과는 연령, 성별, 체질량 지수(BMI) 등 여러 변수를 고려한 것이라고 연구팀은 밝혔다.
전체적인 결과는 운동과 관련된 신체활동이 뇌 용적 증가와 연관이 있음을 보여주는 것으로 운동이 뇌신경 보호 효과가 있음을 시사하는 것이라고 연구팀은 설명했다.
이 연구 결과는 '알츠하이머 치매 저널'(Journal of Alzheimer's Disease) 최신호에 발표됐다.
skhan@yna.co.kr
(끝)
<저작권자(c) 연합뉴스, 무단 전재-재배포 금지>
관련뉴스








