
(서울=연합뉴스) 김잔디 기자 = 뷰노[338220]는 인공지능(AI) 기반 흉부 엑스레이 영상 판독 보조 솔루션 '뷰노메드 체스트 엑스레이'가 사우디아라비아 보건당국으로부터 의료기기 인증을 획득했다고 22일 밝혔다.
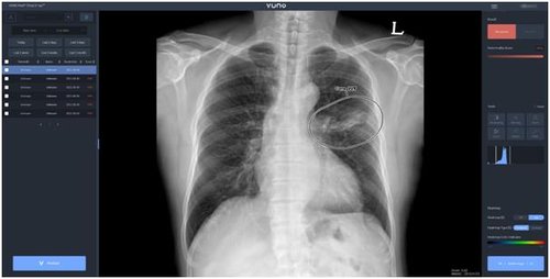
이 제품은 흉부 엑스레이 영상에서 결절, 경화, 간질성 음영, 흉수, 기흉 등 주요 이상소견을 탐지하는 AI 솔루션이다. 의료진에게 이상 소견과 위치를 제시해 결핵, 폐렴 등 주요 폐 질환 진단을 돕는다.
이예하 뷰노 대표는 "이번 사우디아라비아 의료기기 인증 획득은 뷰노의 중동 지역 첫 번째 인허가 사례"라며 "성장 잠재력이 큰 중동의 디지털 헬스케어 시장 공략의 초석이 될 것"이라고 말했다.
jandi@yna.co.kr
(끝)
<저작권자(c) 연합뉴스, 무단 전재-재배포 금지>
관련뉴스








